Li Haiyan, director of breast surgery, and her team from the Sixth Affiliated Hospital of Sun Yat-sen University, recently completed a breast reduction for a female patient with gigantomastia. The operation removed 13 kilograms of excess breast tissue and reshaped both breasts to help the patient return to a healthy life.

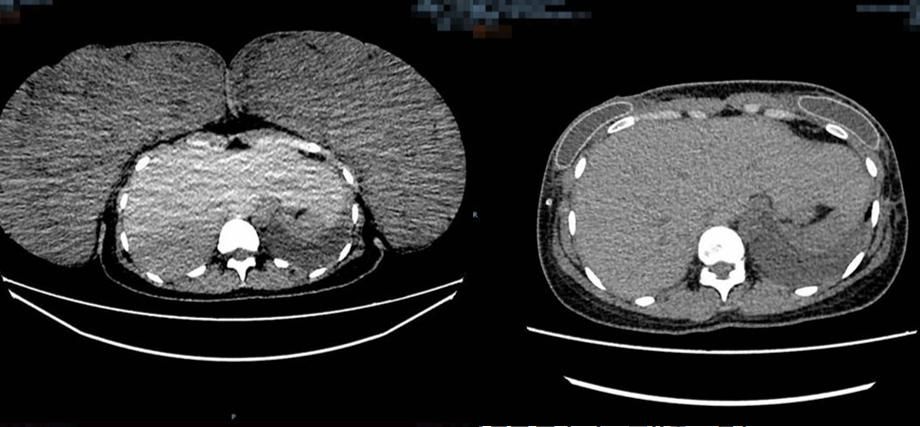
Comparison of the patient's chest enhancement CT. Preoperative size (left): 267 mm×100 mm×293 mm, postoperative size (right): 125 mm×270 mm×340 mm.
(Photo provided to Newsgd.com)
The patient, surnamed Wang (assumed name), 29 years old, came from Maoming. She had a sudden enlargement of both breasts after her first pregnancy two years ago. Accompanied by intermittent swelling and pain, Wang's breast cups rapidly developed from B to F in three months. However, she miscarried for some reason.
This year, Wang became pregnant again and then induced labor. Her breast cups developed from F to Q, and the oversized breasts seriously affected her daily life.
After examinations, Doctor Li Haiyan diagnosed Wang with gigantomastia.
Gigantomastia refers to an overgrowth of the female breasts, which is manifested by excessive breast volume and obvious physical imbalance. This condition is often seen in adolescent girls or young women, which is caused by abnormal sensitivity of the mammary glands and adipose connective tissue to estrogen.

In Surgery. (Photo provided to Newsgd.com)
"Female breast tissue growth during pregnancy is quite common because of estrogen secretion. However, it is rare to see changes as pronounced as Wang's." Li said, Wang has a relatively long medical history, and the blood vessels and ligaments inside her breasts have been stretched by the sagging breasts for a long time. After performing the surgical excision, the team also needed to reconstruct healthy breasts for Wang.
The entire surgery lasted for nearly 9 hours, with 13 kilograms of excess breast tissue removed, while a nipple-areola complex tissue grafting was successfully performed to reshape Wang's breasts.
After the surgery, Wang was transferred from the ICU to the general ward on the following day. Gradually, she was able to walk and exercise in the ward after several weeks of comprehensive treatment and care. "I feel relieved and can breathe better," said Wang.
Link to the report: https://www.newsgd.com/node_99363c4f3b/6124be14c0.shtml