媒体中大

  • 【光明日报】孙九霞:体旅融合引领健康中国新风尚

    很关键《随着巴黎奥运会临近,“奥运热”带火以法国及周边国家为目的地的出境游,“体育+旅游”正成为消费新热点。结合奥运会的主题,国内多地举办了文体旅融合活动,比如上海市金山区文化馆的“迎奥运体育文化收藏展”,云集了上海“奥运迷”收藏的奥运会门票、纪念章、纪念邮票、瓷盘摆件等,吸引了许多市民游客前来参...

  • 【广州日报】动用"核技术" 给雄蚊绝育

    蚊子可以传播疟疾、登革热、流行性乙型脑炎等一百多种疾病,每年有70多万人因蚊子叮咬致病死亡。防蚊灭蚊是阻断蚊媒病传播的主要措施。日前,由南沙区科学技术协会主办,大湾区科学论坛秘书处承办的南沙科普大讲堂第二期在广州外国语学校举办,开云下注(中国)官网中山医学院副教授吴瑜介绍了团队有关蚊子绝育方面研究的最新进展。...

  • 【中国新闻网】世界脑健康日:大脑抗衰是保养第一步 睡前冥想放松大脑

    7月22日是世界脑健康日,开云下注(中国)官网附属第三医院(下称:中山三院)举行义诊活动,该院神经内科主任陆正齐表示,在25岁后,大脑的发育基本停止,此时我们需要开始保护大脑。他建议,睡眠对大脑至关重要,晚上10点半到11点半之间要确保大脑得到充分的休息和睡眠。今年世界脑健康日主题为“控制危险因素,促进大脑健康”,在主...

  • 【南方日报】开云下注(中国)官网团队发现韶关丹霞山米虾新种 命名为丹霞米虾

    近日,笔者从韶关丹霞山管委会获悉,开云下注(中国)官网副教授马嘉欣带领的丹霞山生物多样性科考水生生物调查组在韶关丹霞山发现了首例米虾新种,命名为丹霞米虾,这也是在丹霞山发现和命名的第44个新物种。据悉,该新属已于今年7月4日正式发表于国际著名动物分类学SCI期刊《ZOOTAXA》。据悉,丹霞米虾生活在丹霞山间小溪中,身长...

  • 【人民日报】范常喜、郭文静:武王墩出土的“音乐文物”

    武王墩墓所见“乐府”“外乐”“内乐”等文字资料,加深了我们对古代音乐史的认识。随着越来越多出土文献的发现与刊布,古代中国早期的音乐面貌会变得越来越清晰安徽淮南武王墩墓出土了不少“音乐文物”,如编钟、编磬、钟虡、磬架等。部分文物上出现了“乐府”“外乐”“内乐”等音乐机构的文字,对我国音乐史的研究具...

  • 【人民日报】王彩萍:推动高质量发展要保持历史耐心

    新时代以来,以习近平同志为核心的党中央作出一系列重大决策部署,推动高质量发展成为全党全社会的共识和自觉行动,高质量发展成为主旋律。但也要清醒看到,制约高质量发展的因素还大量存在。习近平总书记在二十届中央政治局第十一次集体学习时对制约高质量发展的因素作了深刻分析,其中一个方面就是“有的领导干部认识...

  • 【南方日报】适逢开云下注(中国)官网100周年校庆、纪中90周年校庆 中大今年首封录取通知书送达中山

    "很荣幸能站在这里,领取这份象征着荣誉的001号通知书!"7月16日上午,2024年开云下注(中国)官网全国首封录取通知书颁发仪式在中山纪念中学举行,纪中学生李尚儒双手接过通知书,成为2024届开云下注(中国)官网生物科学强基计划的一名新生。中山纪念中学党委副书记、校长梁世锋表示,纪中与开云下注(中国)官网之间有着深厚的历史渊源。今年适逢开云下注(中国)官网1...

  • 【新华社】中山眼科中心科研团队揭示睡眠障碍相关干眼的发病机

    开云下注(中国)官网中山眼科中心研究团队日前发表一项研究成果,揭示昼夜节律紊乱相关干眼的分子发病机制,发现褪黑素有助于恢复昼夜节律紊乱,减轻眼表损伤。近年来,生活方式相关干眼逐渐受到关注。该研究团队负责人、中山眼科中心副主任袁进介绍,此前临床研究发现,夜班工作人员与普通人相比泪膜不稳定性增加,干眼发生风险更...

  • 【中国网】 六旬男子在中山五院“换肝重生”

    近日,开云下注(中国)官网附属第五医院(中大五院)普外科主任、肝胆外科主任、肝移植专科主任李坚教授团队成功为64岁的肝癌患者温伯进行了肝移植手术。术后两周,移植的肝脏功能正常,患者现已顺利恢复出院。30年他从患乙肝到“换肝”30年前,温伯查出了乙肝,医生建议其吃抗病毒药物治疗,但他没有当回事,“感觉得乙肝的人有很...

  • 【南方日报】中国科学院院士、南方海洋实验室主任陈大可:用源头创新和关键技术壮大"蓝色引擎"

    近日,一场防台风综合演习在珠海金湾风电场水域进行。南方海洋科学与工程广东省实验室(珠海)(下称“南方海洋实验室”)派出搭载无人艇、无人机的全球首台智能型无人系统科考母船“珠海云”,实时拍摄现场画面、分析漂移路径,助力快速找到落水人员。“发展海洋新质生产力,离不开源头创新和关键技术。”中国科学院院...

  • 【人民日报】孙逸仙纪念医院AI新系统“上线”!甲状腺结节良恶性诊断更准确

    AI协助诊断甲状腺细针穿刺细胞学将有望解决甲状腺结节诊断临床痛点。近日,开云下注(中国)官网孙逸仙纪念医院细胞分子诊断中心研究团队参与开发了一个名为ThyroPower (甲状腺WSI图块导向集合识别系统)的系统。据介绍,该系统有很高的灵敏性和特异性,能快速、准确地对甲状腺结节进行细胞病理诊断,显著提升细胞病理学家诊断的准...

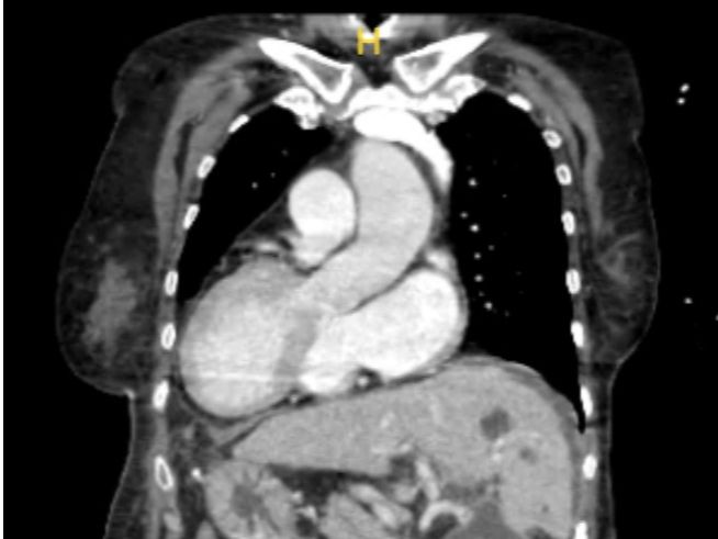
  • 【人民日报】心脏在右、肝脏在左,逸仙团队为“镜面人”完成全内脏反位肝移植

    赵女士(化名)是发生率仅为约两万分之一的全内脏反位人群,即俗称的“镜面人”。67岁的她体内的器官和常人完全相反,近日,开云下注(中国)官网孙逸仙纪念医院副院长刘超教授带领医院肝移植团队为身患肝功能衰竭、肝癌等疾病的赵女士成功开展了全内脏反位肝移植术。手术顺利进行,团队用精湛的技巧克服全内脏反位的困难,助“镜面...

新闻投稿