开云下注(中国)官网讯(通讯员张婷婷、戴希安、简文杨、张志强)2024年3月19日,附属第六医院生殖医学中心团队召开新闻发布会,宣布全球首次应用第三代试管婴儿技术,成功阻断端粒融合型环状染色体向子代传递,现健康宝宝已满百天。这是国际上首次通过改进后的基于链读测序的长片段二代测序技术,成功实现了端粒融合型环状染色体的单体型构建。
小雪(化名)夫妻女方染色体异常(携带环状染色体),男方基因变异,想要生育一个完全健康的孩子非常困难。环状染色体是人类很罕见的一类染色体结构畸变,携带者一般生育率较低,会承受不孕不育、反复流产或生育畸形儿等风险。同时小雪夫妇均为新发变异,无法通过双方父母的信息构建单体型,从而给胚胎的诊断带来了挑战。

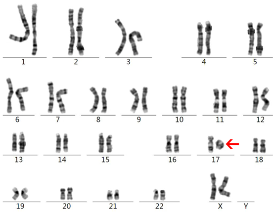
该类染色体核型结果(17号染色其中一条体呈现环形)
附属第六医院梁晓燕教授团队开发了针对环状染色体检测的基于链读测序的长片段二代测序方法。常规二代测序长度约为单端0.15kb(人类染色体头尾2个端粒的平均长度18-30kb),因此,常规二代测序无法跨越2个端粒融合区域进行检测,经过技术改良后,此例测序长度平均值大于30kb,且碱基准确性比较高,可检测到大量跨越端粒融合区域的长片段DNA分子,从而确认了环状染色体的结构;再通过标记、筛选分类,成功构建了17号环状染色体携带单体型、正常染色体的单体型,同时还成功构建了男方新发致病突变基因的单体型。随后,团队对胚胎进行了一体化PGT检测(PGT-plus),成功判断了胚胎环状染色体及致病基因变异的携带情况,在11枚胚胎中成功获得了1枚染色体和基因均正常的胚胎。2023年12月7日,这位国际首例“染色体脱环”宝宝顺利诞生,且各项相关评估及检查均正常。

附属第六医院生殖医学中心基于这类环状染色体构建单体型的技术方法已申请技术发明专利,此技术还有望拓展应用至其他有染色体异常和单基因病的夫妇。希望这一突破性的研究成果能为更多饱受不孕和遗传疾病风险之苦的家庭生育健康后代带来希望,同时也为医学领域开辟新的道路。