近日,附属一院血管外科采用开窗支架复杂的腔内技术成功治疗一肾周型腹主动脉瘤。据了解,这是华南地区首次成功开展开窗支架治疗肾周型腹主动脉瘤的案例。
患者男性,74岁,3月前体检发现腹主动脉瘤,CTA提示腹主动脉(肠系膜上动脉水平以下)呈梭形瘤样扩张,瘤体累及双侧肾动脉、肠系膜上动脉,患者年龄较大,既往有冠心病史并行冠脉支架植入术,且有高血压病史,开放手术风险高,血管腔内治疗是较好的治疗方法,但常规支架植入术难以完全隔绝腹主动脉瘤。
在血管外科学科带头人王深明、常光其教授组织全科讨论后,血管外科王劲松教授带领团队手术,应用Gore的C3可收放腹膜支架,经术前CTA等影像学资料精确计算双肾动脉及肠系膜上动脉开口,术中行支架体外肠系膜上动脉开槽,双肾动脉开窗,然后导入腹主动脉内,精确将支架的开槽、开窗与各动脉开口位置对位,准确释放,并于双侧肾动脉处置入肾动脉支架。
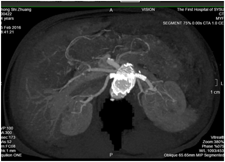
术后造影显示腹主动脉瘤完全隔绝,双侧肾动脉及肠系膜上动脉血流通畅,各脏器未见明显缺血,患者无腹痛,无肾功能损害,肌酐尿素氮未见升高。一星期后复查CTA显示支架位置良好,未见明显内漏,双肾动脉及肠系膜上动脉未见明显狭窄或闭塞。患者顺利康复出院。
腹主动脉瘤多为肾下型,介入和开放手术治疗相对容易。肾上或肾周型腹主动脉瘤是动脉瘤累及腹主动脉内脏区,尤其累及双侧肾动脉开口或肠系膜上动脉开口。开放手术需要重建内脏动脉,创伤大,并发症多,而微创腔内治疗的常规覆膜支架不适用这种类型动脉瘤,需要更复杂的腔内技术:烟囱支架、开窗支架、分支支架(定制和非定制)等技术。其中开窗支架较好地保持了原有血流方向及血流动力学,是较好的治疗方法。但手术难度大,技术较复杂,国内对于此类病变应用开窗支架成功治疗经验仅限于个别中心的个别病例。

术前CTA三维重建结果


术后1周复查CTA三维重建结果